大脚骨拇外翻

更新时间:2025-10-31

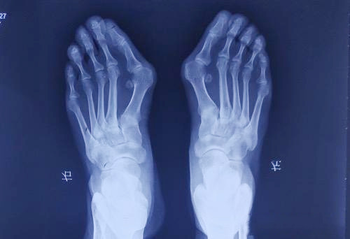
大脚趾外翻是一种常见的足部问题,主要表现为大脚趾向外侧偏斜,超过正常生理角度15度以上。这种情况不仅会影响脚部美观,更重要的是会对日常行走造成困扰。当大脚趾向外翻时,往往会挤压旁边的其他脚趾,导致它们也出现不同程度的变形。同时,大脚趾近端的趾骨头会向内突出,使第一跖骨基部变得明显。在走路时,突出的部位很容易与鞋子发生摩擦,特别是鞋子前部较窄的情况下,这种摩擦会加剧,导致滑液囊发炎,形成厚厚的茧子,让人感到疼痛不适。

大脚骨拇外翻·推荐项目

brand introduction

更多

大脚骨拇外翻·新闻资讯

News and information

更多

大脚骨拇外翻·相关问答

questions and answers

更多